當你發現狗狗身上出現不明原因的瘀青,或是偶爾甚至反覆流鼻血,許多飼主第一反應可能是「撞到哪裡了嗎?」或「天氣太乾燥?」然而,若這些出血現象頻繁發生,有可能有得了血小板低下(thrombocytopenia)的風險。
血小板低下是常見且需要高度警覺的血液異常之一,可能導致自發性出血,嚴重時甚至危及生命。本篇文章將從醫療角度解析血小板的功能、常見症狀、成因與診斷方式,幫助飼主及早辨識關鍵警訊。
血小板的角色:為什麼會影響出血?

血小板(platelets)是血液中的重要細胞成分之一,主要功能為初級止血(primary hemostasis)。當血管內皮受損時,血小板會迅速黏附於受損部位,並聚集形成血小板栓,阻止血液持續流出。
此外,血小板也會釋放多種凝血相關因子,協助後續的凝血級聯反應(coagulation cascade),使血液形成穩定血塊。
當血小板數量下降或功能異常時,即使是輕微的血管損傷,也可能導致持續出血或自發性出血。這也是為什麼血小板低下的狗狗,常出現瘀青與流鼻血等症狀。
狗狗血小板低下的典型症狀

血小板低下最常見的臨床表現與「出血傾向」有關,尤其是黏膜與皮膚的出血。
皮膚瘀青(ecchymosis)與出血點(petechiae)
- 在腹部、耳朵內側或皮膚薄處可見紫色瘀斑或針狀紅點
- 常無明顯外傷
流鼻血(epistaxis)
- 可能單側或雙側
- 反覆發生或不易止血
牙齦出血
- 咀嚼或刷牙時容易流血
- 牙齦可能伴隨蒼白或發炎
消化道或泌尿道出血
- 黑便(melena)代表上消化道出血
- 血尿(hematuria)可能出現
傷口止血困難
- 小傷口卻出血時間延長
這些症狀在臨床上被歸類為「初級止血異常」的表現,是血小板問題的重要線索。
血小板低下的常見原因

血小板低下並非單一疾病,而是一種「表現」,可依病理機制分為以下幾類:
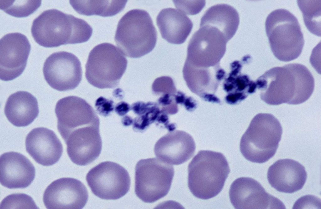
免疫介導性破壞(Immune-mediated thrombocytopenia, ITP)
這是血小板低下最常見的原因之一。
狗狗的免疫系統誤把血小板當成「外來入侵者」加以攻擊,使血小板在血液中被大量破壞。
(如上圖)
這種情況可以是原發性的免疫疾病,也可能繼發於感染、腫瘤、藥物或其他系統性疾病,常需要類固醇或免疫抑制藥物來控制免疫反應。
感染性疾病
特別是壁蝨媒介疾病(tick-borne diseases),例如:
- 巴貝西亞(Babesia spp.)
- 艾利希體(Ehrlichia spp.)
這些病原除了會引起貧血、發燒之外,也可能直接影響骨髓造血功能,或刺激免疫系統攻擊血小板,導致血小板大量減少。
骨髓生成不足
如果骨髓本身受抑制或出現疾病,就無法正常產出血小板,常見原因包括:
- 藥物或化療引起的骨髓抑制
- 骨髓疾病,例如白血病、再生不良性貧血:這種情況下,不只是血小板會減少,有時紅血球與白血球也會同時異常,臨床上稱為「全血球減少」,需要更詳細的骨髓檢查來釐清原因。
消耗性疾病
當體內出現大範圍的凝血反應時,血小板會在過程中被大量消耗。
最典型的例子是:
- 弥散性血管內凝血(DIC)
- 嚴重出血或大範圍創傷:這些情況下,血小板會在全身血管內形成大量微血栓,原本用來止血的血小板反而被「用光」,導致血小板數量迅速下降,同時也可能出現多處出血。
脾臟相關問題
脾臟就像一個「血小板的暫時收容所」,若脾臟異常腫大,會把大量血小板「抓」在脾臟裡,造成血液中血小板計數偏低。
- 常見情況包括:
- 脾臟腫大(splenomegaly)
- 血小板滯留(sequestration,血液中的血小板被大量留在脾臟)
因此,當血小板低而其他檢查都正常時,獸醫會特別留意脾臟是否有腫瘤、充血、感染或其他病變,必要時會安排超音波或切除後做病理檢查。
血小板低下的嚴重性與風險
在臨床觀察中,血小板數量與出血風險有一定的關聯,但風險並非完全由單一數值決定:
- ≥100,000/μL:多數狗狗沒有明顯出血症狀,是臨床上常見的「較安全範圍」之一。
- 50,000–100,000/μL:雖然不一定會出血,但仍可能出現輕微黏膜或皮膚出血,屬於需要密切觀察的範圍。
- <50,000/μL:自發性出血(如瘀點、瘀斑、鼻血、黑便、血尿等)的風險會明顯上升,常被視為高風險門檻之一。
- <20,000/μL:若合併黏膜或皮膚出血,常被視為急症,可能需要緊急醫療介入。
延伸閱讀:狗狗精神差、牙齦變白?小心 IMHA 自體免疫性溶血
更多牙痛獸醫資源
我近期很努力在YT上分享實用的資訊,主要是拍攝貓咪和狗狗醫療資訊! 如果您有興趣,請務必按下訂閱
想要知道更多關於讓毛小孩陪我們更久的資訊嗎?免費贈送養寵必備急救術趕快來領取!
註冊線上研討會:毛孩家長的必修課 (限時免費教學)
透過此課程,至少可以減少10萬的寵物開銷,同時讓你最愛的毛孩,健康快樂的陪伴你更久
預約看診,可至順心動物醫院 07-3809382
獸醫如何診斷血小板低下?

當懷疑血小板異常時,獸醫通常會進行以下檢查:
完整血球計數(CBC)
- 確認血小板數量。
- 同時評估紅血球與白血球,幫助判斷是否有貧血、感染或其他問題。
血液抹片檢查
- 顯微鏡下觀察血小板是否真的少,排除「血小板黏在一起」造成的假性低下。
- 觀察其他細胞是否有異常。
凝血功能測試
- 檢查凝血因子是否正常,判斷問題是出在血小板,還是整體凝血機制異常(例如 DIC)。
感染檢測
- 檢測常見壁蝨相關疾病,例如艾利希體、巴貝西亞,這些感染常會導致血小板下降。
影像學檢查
- 檢查脾臟是否腫大、有無腫瘤或內出血,了解是否因器官異常導致血小板被大量消耗。
獸醫的目的不只是確認血小板低,更重要的是找出原因,才能對症治療。
治療方式與臨床處理

治療策略取決於病因與嚴重程度:
免疫性血小板低下
- 常見用類固醇(如 prednisone)壓制免疫系統,減少對血小板的攻擊。
- 若情況較複雜,可能再加用其他免疫抑制藥物,由獸醫依個案調整。
感染性疾病
- 若是由壁蝨相關疾病等感染引起,會先用抗生素治療(如 doxycycline),控制感染後,血小板通常會慢慢回升。
嚴重出血
- 若出現大量瘀青、黑便、血尿、內出血等,常需要輸血或血小板支持療法,幫助穩定情況。
- 這類治療多在急診或住院觀察下進行。
支持療法
- 暫時減少激烈活動,避免碰撞受傷,並盡量延後非必要的手術或侵入性檢查。
- 飼主要留意牙齦、鼻腔、大小便是否有出血,並定期回診追蹤,讓獸醫適時調整藥物與治療。
飼主可以如何觀察與預防?

雖然不是所有血小板低下的原因都能預防,但日常觀察與預防措施,能幫助及早發現問題:
定期檢查牙齦與皮膚
留意牙齦是否蒼白、出血,皮膚是否有不明瘀青或細小紅點,尤其是在腹部、耳朵內側等較薄的部位。
注意異常出血
若出現反覆流鼻血、血尿、黑便(像瀝青一樣的黑色糞便),都要提高警覺,可能是血小板異常的訊號,建議儘早回診。
做好寄生蟲預防
特別是壁蝨相關疾病,是造成血小板低下的常見原因之一,定期使用可靠的防壁蝨藥物,能有效降低風險。
定期健康檢查
中老年犬或有慢性病的狗狗,建議定期抽血檢查,及早發現血小板或其他血球異常,避免問題拖到嚴重才被發現。
何時需要立即就醫?
請在以下情況儘速就醫:
- 流鼻血持續或頻繁發生
- 出現多處瘀青或出血點
- 精神不佳、虛弱
- 食慾下降或異常嗜睡
早期診斷與介入,是避免嚴重併發症的關鍵。
超高cp質團購群:https://lin.ee/zGmvaie
更多牙痛獸醫資源
我近期很努力在YT上分享實用的資訊,主要是拍攝貓咪和狗狗醫療資訊! 如果您有興趣,請務必按下訂閱
想要知道更多關於讓毛小孩陪我們更久的資訊嗎?免費贈送養寵必備急救術趕快來領取!
註冊線上研討會:毛孩家長的必修課 (限時免費教學)
透過此課程,至少可以減少10萬的寵物開銷,同時讓你最愛的毛孩,健康快樂的陪伴你更久
預約看診,可至順心動物醫院 07-3809382
狗狗血小板低下病例

就診對象:
一隻1歲11個月、未結紮、未生產過的母法國鬥牛犬,體重12.7公斤。於自然交配後約懷孕32天時就診。平時疫苗接種完整,無近期旅遊史,食用市售成犬飼料。
就診原因:
此次就診原本是例行的孕期檢查。初步檢查無明顯異常,超音波顯示約有4隻胎兒,未見異常。
糞便檢查發現中度賈第蟲感染,其餘傳染病檢測(包含蜱蟲相關疾病與布氏桿菌)皆為陰性。
然而血液檢查顯示「中度血小板低下」(約46,000/μL,正常應為143,000–448,000/μL)。
臨床檢查:
隨著懷孕進展,狗狗的狀況逐漸惡化:
- 第35天: 出現白血球上升(感染或發炎反應),血小板仍偏低
- 第43天: 白血球恢復正常,但持續輕度血小板低下,並出現再生性紅血球增加
- 第57天: 乳頭周圍出現瘀點(出血跡象)
- 第59天: 出現乳頭腫脹、瘀青,以及分娩前期症狀(焦躁、喘氣、躲藏)
轉診至急診時發現:
- 全身多處瘀點(尤其腹股溝與乳頭)
- 血小板極度低下(幾乎測不到)
- 中度貧血
- 低白蛋白血症
影像檢查顯示4隻胎兒,其中:
- 至少1隻無心跳(死亡)
- 1隻心跳偏慢
- 1隻心跳正常偏快
整體判斷為免疫性血小板低下(ITP),並合併妊娠併發症與可能難產。
治療方式:
治療過程相當密集且複雜,包含:
免疫抑制與支持療法
- 類固醇(dexamethasone)
- 第二線免疫抑制劑(mycophenolate mofetil)
- 化療藥物(vincristine)促進血小板生成
輸血治療(多次)
- 多次紅血球輸血
- 新鮮冷凍血漿
- 全血輸血
症狀控制與併發症處理
- 抗生素(預防子宮感染)
- 止吐藥(maropitant、ondansetron)
- 胃保護藥(esomeprazole、famotidine、sucralfate)
- 止血藥(tranexamic acid)
- 止痛藥(methadone、gabapentin)
生產與生殖處置
- 嘗試抑制子宮收縮(terbutaline)
- 使用催產素(oxytocin)
- 最終進行剖腹產合併卵巢子宮切除(OVH)
治療過程中的重要狀況:
- 持續黑便(腸胃出血)
- 血尿
- 嘔吐帶血
- 多隻胎兒陸續死亡並排出
- 最終4隻胎兒皆為死胎
術後一度出現吸入性肺炎,但經抗生素治療後穩定。
治療結果:
住院期間血小板逐漸回升,貧血改善,臨床狀況穩定後出院。
出院後:
- 一個月內血小板恢復正常
- 類固醇逐漸減量
但在停藥約一週後出現復發(血小板再次下降),因此重新開始治療。
後續追蹤:
- 出現短暫血小板過高
- 再次調整藥物後恢復正常
- 最終臨床狀況穩定良好
狗狗血小板低下常見QA
結語
狗狗出現瘀青或流鼻血,不應僅視為偶發現象。這些症狀可能代表血小板低下所導致的止血異常。
根據獸醫臨床與醫療文獻,血小板低下的原因多樣,從免疫性疾病、感染到骨髓問題皆有可能。當血小板數量嚴重下降時,可能引發自發性出血,甚至危及生命。
因此,飼主應建立一個重要觀念:
「異常出血不是小問題,及早檢查才能守護狗狗健康。」

