當毛孩出現行動不便、走路跛行,或被診斷出慢性腎臟病時,飼主們常常陷入焦慮:「還有其他選擇嗎?」
傳統治療雖然有效,但對於某些疾病,改善速度有限,毛孩的生活品質可能仍受影響。
許多飼主都面臨同樣的困境:
- 已嘗試藥物治療,但效果有限
- 長期用藥出現副作用(如腎臟、腸胃負擔)
- 年紀大或身體狀況不適合手術
- 希望改善生活品質,而不只是「撐著過」
近年來,寵物幹細胞治療(Stem Cell Therapy)逐漸成為獸醫領域中備受討論的「再生醫療」選項之一,成為一個可以考慮的輔助選項。幹細胞的特性是減緩發炎、促進組織修復,改善癱瘓、關節炎、腎臟病以及其他慢性疾病的症狀,提供毛孩另一種生活品質改善的可能性。
什麼是寵物幹細胞?

幹細胞是具有自我複製與分化能力的細胞,可以發展成多種組織細胞。
在寵物醫學中,幹細胞主要分為兩大類:
- 自體脂肪幹細胞(ADSC)
- 從毛孩自身脂肪組織提取
- 免疫排斥風險低
- 常用於關節炎、椎間盤疾病等
- 自體骨髓幹細胞(BMSC)
- 從骨髓提取
- 功能較廣,研究歷史長
- 常用於骨骼、神經損傷輔助治療
幹細胞的作用機制主要包括:
- 抗發炎:抑制過度免疫反應
- 組織修復:促進受損細胞再生
- 免疫調節:改善慢性疾病中的免疫失衡
幹細胞擁有強大的自我更新與多向分化潛能,能夠源源不絕地產生身體所需的新細胞,用以應對日常代謝消耗及突發性損傷,維持組織的完整修復。
只有當年歲增長,體內幹細胞池逐漸枯竭,供給開始跟不上需求。此時,破壞速度超越修復速率,身體的內在再生機制便會衰退,器官機能隨之減弱,這正是衰老的核心機制。
當內源修復機制顯著減弱,外源幹細胞補充即成為強化再生潛力的重要策略,此原則同樣適用於寵物老年疾病管理。
對飼主而言,幹細胞治療不是「立即治癒」,而是提供身體自我修復的機會。
幹細胞治療能運用在什麼疾病?

神經系統相關疾病
神經系統疾病是幹細胞應用中較受關注的領域之一,特別是在病情已進入穩定期後。
癱瘓(椎間盤疾病、脊髓損傷後)
癱瘓常見於椎間盤疾病、脊髓受壓或外傷後。即使接受手術或藥物治療,有些毛孩仍可能出現長期行動困難。
在穩定期下,幹細胞治療可能作為輔助選項,協助:
- 減緩神經周圍發炎反應
- 改善組織修復環境
- 搭配復健治療提升生活品質
實際效果仍會依損傷程度、病程長短與個體差異而有所不同。
周邊神經損傷
例如外傷或壓迫造成的神經功能障礙,幹細胞可能作為輔助治療,協助神經修復過程,通常需搭配復健與長期追蹤。
退化性神經疾病(研究與探索階段)
此類疾病目前仍屬研究階段,臨床應用需非常審慎,並非標準治療選項。
骨骼、關節與軟組織疾病
幹細胞在骨骼與軟組織修復方面,已有較多研究與臨床經驗累積。
關節炎(慢性或退化性關節疾病)
慢性關節炎是高齡毛孩常見問題,可能出現行動緩慢、起身困難或活動意願下降等情況。
幹細胞治療可作為輔助選項,協助:
- 減緩關節發炎
- 改善關節活動度
- 提升日常活動品質
通常需搭配藥物、體重控制與復健治療進行。
韌帶與肌腱損傷
如前十字韌帶術後或慢性肌腱炎,幹細胞可在特定情況下作為術後或保守治療的輔助方式。
骨折癒合不良
針對癒合速度較慢或反覆受傷的個案,幹細胞可能協助改善組織修復環境,但仍需配合固定與休養。
慢性發炎與免疫相關疾病
慢性皮膚炎、過敏性皮膚病
對於長期反覆發作、藥物控制效果有限的毛孩,幹細胞可能透過免疫調節機制,協助降低慢性發炎反應。
此類應用通常不作為第一線治療。
慢性腸炎(IBD)
慢性腸炎常見於長期腹瀉、嘔吐或體重下降的毛孩,幹細胞在部分研究中顯示,可能有助於調節腸道免疫反應,作為支持性輔助療法。
延伸閱讀:狗狗過敏怎麼辦?從日常過敏原到毒蛇蜜蜂叮咬全攻略!
內臟與慢性疾病
慢性腎臟病
慢性腎臟病為犬貓常見的老年疾病,病程通常不可逆。
幹細胞在此類疾病中的角色,主要為:
- 調節發炎反應
- 協助穩定病情
- 支持生活品質
幹細胞無法取代原有腎臟病治療,而是作為支持性輔助選項。
心臟疾病
幹細胞在心臟疾病中的應用仍屬研究與探索階段,臨床案例有限,需由專科獸醫審慎評估。
延伸閱讀:高雄空間租借哪裡找?便宜又方便的極佳地段!!演講空間/辦公空間/長期租借/短期租借(順心動物醫院三樓)
超高cp質團購群:https://lin.ee/zGmvaie
更多牙痛獸醫資源
我近期很努力在YT上分享實用的資訊,主要是拍攝貓咪和狗狗醫療資訊! 如果您有興趣,請務必按下訂閱
想要知道更多關於讓毛小孩陪我們更久的資訊嗎?免費贈送養寵必備急救術趕快來領取!
註冊線上研討會:毛孩家長的必修課 (限時免費教學)
透過此課程,至少可以減少10萬的寵物開銷,同時讓你最愛的毛孩,健康快樂的陪伴你更久
預約看診,可至順心動物醫院 07-3809382
幹細胞治療臨床使用流程

- 初診評估
- 確認病情是否穩定
- 獸醫師評估是否適合幹細胞治療
- 細胞取得
- 從脂肪或骨髓提取
- 體外培養,必要時純化
- 施打方式
- 靜脈注射
- 關節內注射
- 脊髓或受損部位局部注射
- 療程與追蹤
- 視疾病與個體差異,每週或每月施打
- 定期追蹤血液、生化檢查
- 配合復健與既有治療
注意事項與風險
- 非萬靈藥:幹細胞效果因個體與疾病差異大
- 治療反應時間不一:可能需要數週至數月才能觀察改善
- 併用傳統治療:大多數情況下需要配合藥物、復健或營養管理
- 副作用:少見,但可能出現注射部位腫脹或輕微免疫反應
飼主應與獸醫密切溝通,評估是否適合毛孩,並掌握合理期望。
寵物幹細胞治療費用
不同獸醫診所的收費標準受寵物狀態、醫療設備、細胞來源(自體/異體)、醫師經驗及所在縣市影響:
| 醫院類型 | 單劑範圍(NTD) | 療程總額(NTD) | 特色 |
|---|---|---|---|
| 社區診所 | 2-3萬 | 4-6萬 | 異體產品,基本療程 |
| 再生醫學專科 | 3-4萬 | 7-10萬 | 自體培養,影像導引 |
| 大型連鎖/教學醫院 | 4-6萬起 | 10萬起 | 完整監測,研究合作 |
以上價格是目前市場「常見範圍」,實際費用仍以個案評估與醫院報價為準。
寵物幹細胞治療哪裡有?
目前台灣已有部分動物醫院引進並提供寵物幹細胞治療服務,例如順心動物醫院,將再生醫學應用於臨床治療。
高雄 – 順心動物醫院
- 營業時間:24 小時
- 聯絡電話:07-3809382
幹細胞的未來與研究趨勢

- 再生醫學技術持續進步,幹細胞治療正在拓展應用範圍
- 科學研究正探索:
- 自體與異體細胞比較
- 不同疾病的最佳施打方式與劑量
- 與藥物或復健的協同效果
- 臨床案例和研究逐漸累積,未來可能成為更多慢性疾病的輔助選項
飼主可關注獸醫最新研究,並與專業醫師討論個體化治療策略。
延伸閱讀:寵物高壓氧?高雄哪裡可以做?
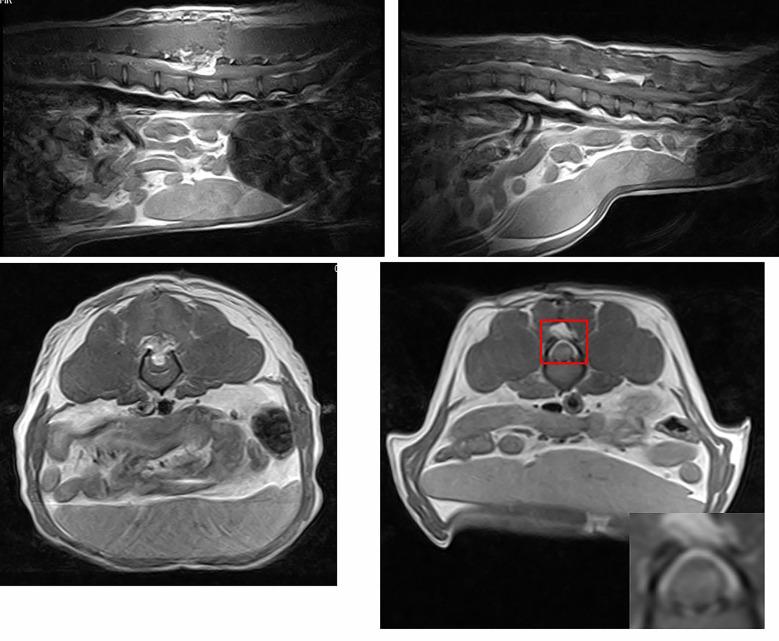
幹細胞治療病例

就診對象:
2 歲雄性比格犬,體重 9 公斤
就診原因:
因外傷造成腰椎 L3–L4 急性脊髓損傷,導致後肢無法站立、行動困難,伴隨感覺及運動功能喪失。
臨床檢查:
- 行為觀察:後肢完全癱瘓,無痛覺(Olby 評分 0 分)
- 影像檢查:MRI 顯示 L3–L4 節段脊髓受損,損傷區呈高信號
- 其他:血液與全身健康檢查正常,排除其他合併疾病
治療方式:
- 外科手術:L3–L4 節段脊髓減壓
- 幹細胞移植:
- 異體羊水來源間質幹細胞(AF-MSCs)5 × 10^6 個直接注射於損傷部位
- 手術同時完成,避免二次損傷
- 後續觀察與復健:
- 每週評估後肢運動功能
- MRI 隨訪脊髓結構變化
治療結果:
- 功能恢復:移植 4 週後,後肢運動明顯改善,步態接近正常
- 影像學變化:MRI 顯示受損脊髓區域軸突再髓鞘化
- 組織學與免疫組織化學:H&E 染色顯示灰白質分界清楚,神經標誌 nestin 與 β3-tubulin 表達,顯示神經細胞再生
- 長期觀察:犬因肺炎死亡,但脊髓組織仍顯示幹細胞治療效果
這隻狗因腰椎受傷導致後肢癱瘓,經手術減壓搭配幹細胞注射治療後,後肢運動功能明顯改善。MRI 和組織檢查都顯示神經組織有再生現象。這個案例顯示,幹細胞治療可能對脊髓損傷有幫助,但仍需配合手術及專業獸醫評估。
更多牙痛獸醫資源
我近期很努力在YT上分享實用的資訊,主要是拍攝貓咪和狗狗醫療資訊! 如果您有興趣,請務必按下訂閱
想要知道更多關於讓毛小孩陪我們更久的資訊嗎?免費贈送養寵必備急救術趕快來領取!
註冊線上研討會:毛孩家長的必修課 (限時免費教學)
透過此課程,至少可以減少10萬的寵物開銷,同時讓你最愛的毛孩,健康快樂的陪伴你更久
預約看診,可至順心動物醫院 07-3809382
幹細胞治療常見QA
結語
寵物幹細胞治療不是「保證治癒」,但可以為毛孩提供新的生活品質改善選擇。
如果毛孩出現癱瘓、關節炎或慢性腎臟病,飼主可與獸醫討論:
- 是否符合幹細胞治療適應症
- 施打方式與療程
- 搭配既有治療的最佳方式
目標是讓毛孩在疾病限制下,仍能保有舒適、活力與快樂的生活。幹細胞只是多一個選項,而不是取代治療的全部。

