當毛孩突然嘔吐、精神萎靡、沒有食慾,甚至出現狂吞口水、乾嘔或腹痛時,許多飼主第一時間會擔心毛孩是否「吞到異物」。在急診中,誤食異物是最常見的病例之一,而「內視鏡夾異物」則是現代獸醫醫療中最重要的微創治療方式。
與傳統開腹手術相比,內視鏡具有:
- 傷口小、不需開刀
- 恢復快、疼痛少
- 常常可立即解決異物阻塞
- 失血量非常低
- 麻醉與術後風險較低
因此越來越多飼主開始重視內視鏡的應用,也希望了解它的流程、費用、種類與治療效果。本篇文章將以完整的深度內容,讓你一次掌握所有重點。
為什麼貓狗誤食異物這麼危險?

貓咪與狗狗的消化道和人類不同,一旦異物卡住,很容易造成以下問題:
- 食道或胃部刮傷、潰瘍
尖銳或硬物可能造成嚴重受傷,甚至穿孔。
- 腸阻塞(Intestinal Obstruction)
阻塞會導致腸道膨脹、壞死,若不緊急處理,可能危及生命。
- 嚴重嘔吐、脫水
毛孩可能因此電解質失衡,造成危險併發症。
- 電池、線類異物風險更高
電池:可能造成化學灼傷
線或繩子:容易導致“線性異物”,使腸道像手風琴般皺縮、撕裂。
因此,只要懷疑毛孩吞了不該吞的東西,都必須謹慎處理。
若出現呼吸急促、窒息、舌頭發紫 → 立刻送急診,不要等。
貓狗誤食異物急救流程

貓咪與狗狗天性好奇,只要主人一個不注意,異物就可能被吞下肚。常見誤食物包含:髮圈、玩具碎片、縫線、針線、橡皮筋、塑膠片、骨頭、玉米梗、釘書針、髮夾、布料等。一旦發生緊急狀況,飼主越冷靜、行動越正確,毛孩越有可能避免開刀甚至降低生命危險。以下整理獸醫院通用的急救處理流程,讓飼主遇到狀況時能立即判斷和應對。
貓狗誤食的可能跡象
- 持續乾嘔、想吐卻吐不出來
- 口水狂流
- 腹痛、走路駝背
- 焦躁不安、躲藏
- 沒精神、不吃不喝
- 腹部脹大
- 排便困難或完全沒排便
- 嘔吐物有血絲或咖啡色液體(胃酸反流)
若出現呼吸急促、窒息、舌頭發紫 → 立刻送急診,不要等。
不要催吐、不要餵食要自行掏取
許多飼主會想幫毛孩催吐,但這非常危險。以下狀況尤其不能催吐:
- 誤食尖銳物(針、釘書針、骨頭碎片)
- 誤食細繩、縫線、緞帶
- 誤食強酸或強鹼
- 誤食電池
錯誤催吐可能造成腸穿孔、喉嚨撕裂或嚴重燒灼傷。
同樣地,也不要伸手進嘴巴內掏,反而可能把異物推更深。
立即聯絡獸醫院並描述狀況
打電話時提供以下資訊:
「毛孩吞了什麼?」(材質、形狀、大小)
「多久以前吞的?」
「是否有嘔吐、喘、痛、行為異常?」
「毛孩是否有心臟病、老年疾病?」
獸醫會評估是否需要急診、拍 X 光或安排內視鏡夾取。
內視鏡夾異物的過程

毛孩要做內視鏡時,整個流程大致如下:
初診與影像檢查
獸醫師會先做:
- 問診:吞食時間、異物種類、症狀
- X 光:確認是否有異物影、是否阻塞
- 超音波:確認是否進入小腸
- 血液學檢查:麻醉風險評估
目的:確認異物能不能用內視鏡處理。
如果異物已經進入深層小腸,可能需要開腹手術。
麻醉前評估(非常重要)
內視鏡一定需要全身麻醉。
評估項目包含:
- 血球數
- 肝腎功能
- 電解質
- 心臟評估(如必要)
這能讓麻醉更安全、風險更低。
內視鏡操作
麻醉後,獸醫師會將內視鏡從:
- 口部進入 → 食道 → 胃 → 十二指腸
或 - 肛門進入 → 直腸 → 大腸 → 盲腸
依照異物位置來進行。
常用工具:
- 抓鉗
- 網籃
- 夾子
- 吸引管
取異物時會非常小心,避免刮傷胃壁或食道。
根據異物位置採用不同處置
✔ 在食道、胃內:內視鏡夾出(首選、微創、恢復快)
適用大部分玩具碎片、髮圈、塑膠片、布料、小物件。
✔ 在腸道表層:可能嘗試推回胃再用內視鏡取出
但需要醫師判斷。
✔ 完全卡住或腸道破裂:需手術開腹
危及生命時必須手術處理,不能拖延。
貓咪吞線案例分享影片(需開刀):
術後居家照護
- 禁食 6–12 小時(依醫囑)
- 觀察是否嘔吐或流口水
- 餵食清淡食物 1–3 天
- 若有食道炎需服用胃藥
- 若有刮傷可能需要抗生素
何時需要立即再回診?
若出現以下情況:
- 不吃不喝 24 小時以上
- 持續嘔吐
- 嘔吐物或便便有血
- 異常嗜睡、痛到不敢躺下
這可能代表食道潰瘍、腸破裂或吸入性肺炎,需要立即重新檢查,較嚴重的案例需要開刀處理。
更多牙痛獸醫資源
我近期很努力在YT上分享實用的資訊,主要是拍攝貓咪和狗狗醫療資訊! 如果您有興趣,請務必按下訂閱
想要知道更多關於讓毛小孩陪我們更久的資訊嗎?免費贈送養寵必備急救術趕快來領取!
註冊線上研討會:毛孩家長的必修課 (限時免費教學)
透過此課程,至少可以減少10萬的寵物開銷,同時讓你最愛的毛孩,健康快樂的陪伴你更久
預約看診,可至順心動物醫院 07-3809382
內視鏡介紹

內視鏡(Endoscope)是一種細長且具光源與攝影鏡頭的醫療設備,能在不開刀的情況下,直接看到動物體內的構造與病變,並可從口腔進入食道與胃部,獸醫師可以透過內視鏡:
- 觀察食道、胃、大腸的黏膜狀況
- 找出病變、出血點、潰瘍
- 取出誤食異物
- 切取組織進行病理檢查
- 評估腫瘤或慢性炎症
最大特色就是微創、低疼痛、恢復快。
在處理誤食異物時尤其重要,例如:
- 髮圈
- 玩具碎片
- 食物袋
- 骨頭或魚刺
- 石頭
- 棉線、針線(需特別小心)
許多異物停留在胃或食道內時,只要在 24–48 小時內就醫,內視鏡常能在不開刀的情況下順利移除。
內視鏡的常見種類
現代獸醫院常用的主要分為三種,每一種適用的部位不同。
軟式內視鏡(Flexible Endoscope)——最常使用、最靈活

用途最多,常用於:
- 胃
- 食道
- 十二指腸
- 大腸
- 胃內異物取出
- 消化道疾病切片
優點:
- 柔軟、可彎曲,能深入彎曲的腸胃道構造
- 能配合鉗子、夾子等工具進行操作
- 異物夾取成功率高
缺點:
- 無法進入非常狹窄的通道
- 無法使用於耳道、鼻道等精細區域
硬式內視鏡(Rigid Endoscope)——畫質清晰、用途廣泛

常用於:
- 鼻腔
- 耳道
- 膀胱
- 關節
- 生殖道
- 腹腔鏡輔助檢查
優點:
- 畫質非常清晰
- 適合小型、直線型的構造
- 可搭配鉗子、沖洗系統做精密操作
缺點:
- 無法彎曲,適用於直線結構
腹腔鏡(Laparoscope)——微創手術的進化版

用途:
- 微創結紮(單孔或雙孔)
- 卵巢切除
- 腹腔器官檢查
- 腹腔切片
- 腹腔腫塊評估
許多中大型犬做結紮時已經會選擇腹腔鏡,因為:
- 傷口小(約 0.5–1 公分)
- 術後疼痛少
- 恢復快
- 併發症低
貓狗內視鏡檢查費用(台灣參考)
費用會因醫院設備、麻醉風險、地區而不同,以下為常見價格區間:
基本檢查費用
| 項目 | 價格(NTD) |
|---|---|
| 初診費 | 300–600 |
| X 光 | 300–1,000 |
| 超音波 | 1,200–3,000 |
| 血液檢查 | 1,500–3,000 |
內視鏡本體費用
| 項目 | 價格(NTD) |
|---|---|
| 內視鏡檢查(無夾異物) | 12,000–20,000 |
| 內視鏡夾異物 | 15,000–35,000 |
| 內視鏡切片 | 3,000–6,000 |
| 全身麻醉 | 3,000–6,000 |
更多牙痛獸醫資源
我近期很努力在YT上分享實用的資訊,主要是拍攝貓咪和狗狗醫療資訊! 如果您有興趣,請務必按下訂閱
想要知道更多關於讓毛小孩陪我們更久的資訊嗎?免費贈送養寵必備急救術趕快來領取!
註冊線上研討會:毛孩家長的必修課 (限時免費教學)
透過此課程,至少可以減少10萬的寵物開銷,同時讓你最愛的毛孩,健康快樂的陪伴你更久
預約看診,可至順心動物醫院 07-3809382
內視鏡的常見用途

內視鏡並不只是用來夾異物,它有非常多臨床用途。
消化道疾病檢查
適用於:
- 慢性嘔吐
- 慢性腹瀉
- 黑便或消化道出血
- 食慾不振
- 反覆體重下降
內視鏡可以看到胃黏膜是否:
- 發炎
- 出血
- 有潰瘍
- 有腫瘤或結節
必要時可切片確診 IBD 或腫瘤。
呼吸道疾病
硬式內視鏡可用於:
- 氣管異物
- 鼻腔腫瘤
- 鼻炎
- 鼻腔出血原因
貓咪常見的「鼻腔內有植物碎片或砂子」也能透過內視鏡取出。
耳道問題
長期耳炎的毛孩有時耳道深處會:
- 卡住分泌物塊
- 異物
- 蟎蟲
- 肉芽或腫瘤
內視鏡能清楚看到耳道深處並清潔。
生殖系統與泌尿系統
硬式內視鏡可用於:
- 膀胱檢查
- 尿道結石觀察
- 子宮疾病輔助診斷
延伸閱讀:導尿很多次又塞了怎麼辦?貓下泌尿道症候群與膀胱結石完整處理指南
微創手術
腹腔鏡已逐漸取代傳統開腹手術,例如:
- 微創結紮
- 腹腔器官檢查
- 活體切片
這些方式都有助於毛孩更快速地恢復。
哪些情況不能用內視鏡?
雖然內視鏡很方便,但並非所有情況都適合。
無法使用內視鏡的情況
- 異物已經進入小腸深處
- 線狀異物引起腸套疊
- 異物過大無法經口取出
- 胃腸道已有破裂或壞死
- 嚴重出血需立即手術
- 毛孩無法承受麻醉
內視鏡並不能完全取代開腹手術。
延伸閱讀:高雄空間租借哪裡找?便宜又方便的極佳地段!!演講空間/辦公空間/長期租借/短期租借(順心動物醫院三樓)
超高cp質團購群:https://lin.ee/zGmvaie
內視鏡急診案例(一)

就診對象:
一隻 10 個月大的長毛米克斯貓,名叫 Casper。
就診原因:
Casper 出現嘔吐,嘔吐物裡有黏稠的飼料。飼主懷疑牠在幾天前吞下了一根約 5 公分長的縫衣針。
臨床檢查:
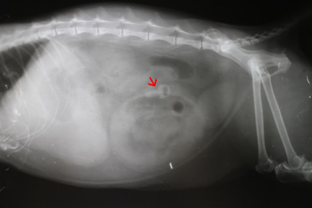
在醫院的問診與身體檢查中,發現 Casper 食慾變差,也比平常安靜。
X 光顯示那根縫衣針已經跑到胸腔位置,而且是垂直穿過食道壁。
治療方式:
醫師在全身麻醉下替 Casper 做內視鏡,想辦法把縫衣針取出並檢查食道狀況。
內視鏡看到縫衣針是和縫線一起被吞下去的,整根針都穿進食道壁裡,只剩下一點點縫線露在食道裡面。
醫師先拉動那段小縫線,把縫衣針拉回食道裡,再用內視鏡的鱷魚夾把縫衣針和縫線一起取出。
治療結果:
成功取出後給予抗生素與止吐藥,協助食道恢復並減輕不適。
內視鏡急診案例(二)
就診對象:博美犬
就診原因:
拍攝X光發現食道異物博美吃完零食後一直咳嗽停不下來,飼主發現後緊急送至順心動物醫院急診。
臨床檢查:
拍攝X光發現食道異物。
治療方式:
緊急內視鏡手術夾出。


手術結果:
術後恢復良好。
注意:不要給予小型犬吃太硬或太大的東西。
順心動物醫院有內視鏡設備,歡迎洽詢!
- 營業時間:24 小時
- 聯絡電話:07-3809382
內視鏡急診案例(三)
就診對象:
貓咪,有膀胱結石。
就診原因:
膀胱內有結石需取出。

治療方式:
透過膀胱內視鏡的可視性,可以清楚看到膀胱內部構造和將結石完整取出,並達到傷口小、破壞性小的效果。


術後結果:
恢復快速且良好,順利回家。


貓狗內視鏡檢查常見QA
更多牙痛獸醫資源
我近期很努力在YT上分享實用的資訊,主要是拍攝貓咪和狗狗醫療資訊! 如果您有興趣,請務必按下訂閱
想要知道更多關於讓毛小孩陪我們更久的資訊嗎?免費贈送養寵必備急救術趕快來領取!
註冊線上研討會:毛孩家長的必修課 (限時免費教學)
透過此課程,至少可以減少10萬的寵物開銷,同時讓你最愛的毛孩,健康快樂的陪伴你更久
預約看診,可至順心動物醫院 07-3809382
結語:內視鏡是現代獸醫最溫和、最有效的微創工具
內視鏡是動物醫療中非常重要的技術,不僅能夾異物,也能協助診斷許多消化道疾病、呼吸道疾病與耳道問題。對於誤食異物的毛孩來說,內視鏡還能避免開腹手術,加快恢復速度、減少痛苦。
如果你的毛孩出現以下症狀:
- 突然不停嘔吐
- 吞食異物
- 持續腹瀉
- 鼻涕不止或流鼻血
- 長期胃腸問題找不到原因
都可以與獸醫師討論是否需要內視鏡檢查。

